案例介紹

  • 案例介紹
tel:02-8245-6785

案例介紹

首頁 > 案例介紹
案例介紹
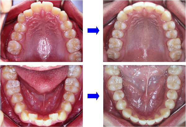
dot  排整牙齒
案例

上一頁